Sindrome di down: colina in gravidanza e allattamento diventano sollievo per le funzioni cerebrali del bebè
Nel caso di feti e bambini con la sindrome di Down l'assunzione da parte delle mamme in gravidanza e allattamento...
Nel caso di feti e bambini con la sindrome di Down l'assunzione da parte delle mamme in gravidanza e allattamento...
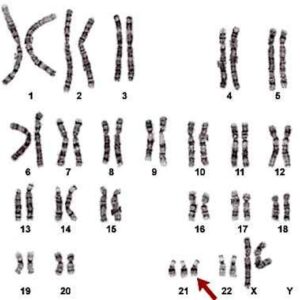
In Italia ci sono circa 35 mila neonati colpiti da malattie congenite o malformazioni, come cardiopatie, sindrome di Down, spina...
La riduzione dei livelli cerebrali di proteina beta amiloide nel cervello di topi mutanti affetti da un analogo murino della...
Si chiama 'Pumilio' ed e' una proteina prodotta dalle cellule nervose gia' nelle prime fasi dello formazione del nostro cervello....
Uno studio sperimentale condotto su un modello animale della sindrome di Down suggerisce per la prima volta che vi sia...