Ultrasuoni per diagnosticare in tempo ictus e attacchi cardiaci
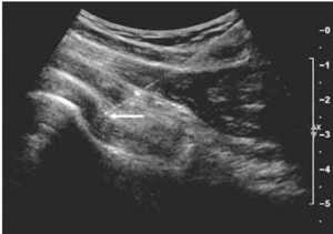
Un nuovo dispositivo a ultrasuoni potrebbe agevolare l’identificazione del rischio di rottura della placca arteriosa che causa infarto o ictus....
Un nuovo dispositivo a ultrasuoni potrebbe agevolare l’identificazione del rischio di rottura della placca arteriosa che causa infarto o ictus....
Gli ultrasuoni, indirizzati verso una specifica regione del cervello, possono modulare l'attivita' di questo organo potenziando la percezione e la...
Si chiama FUS (Focused Ultrasound Surger), Chirurgia a Ultrasuoni Focalizzati, ed è un'attrezzatura del valore di 1.250.000 euro che da...
Gli ingegneri del MIT hanno ideato un modo per migliorare la permeabilità della pelle ai farmaci. In questo modo è...
Una terapia con onde sonore concentrate sembra essere un'alternativa efficace ai tradizionali interventi chirurgici contro i tremori. I ricercatori dell'University...
La Fda (Food and Drug Administration), l'ente governativo americano per il controllo della sicurezza alimentare e farmaceutica, ha lanciato un'allerta...