Dalla membrana amniotica si puo’ ricavare materiale per riparare le cornee danneggiate dei bambini
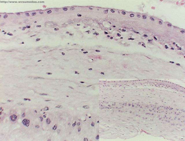
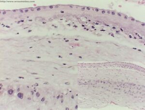
Sezione membrana amniotica

(ANSA) – MILANO, 11 GIU – Dallo strato piu’ interno della placenta umana, chiamato membrana amniotica, si puo’ ricavare materiale utile per riparare le cornee dei bambini danneggiate da traumi o infiammazioni. E’ una delle novita’ che gli esperti stanno discutendo al convegno nazionale della Societa’ di oftalmologia pediatrica (Siop), che si e’ aperto oggi a Milano. La membrana amniotica, spiegano infatti i ricercatori, fornisce elementi nutritivi che migliorano il decorso dei processi infiammatori che possono colpire la cornea. Tra gli altri temi su cui si concentrera’ il convegno ci sono le malattie oculari legate a disfunzioni del metabolismo, cosi’ come le nuove tecniche di diagnosi precoce e di riabilitazione visiva. ”Queste patologie – spiega Elena Piozzi, direttore dell’oculistica pediatrica all’ospedale Niguarda di Milano – sono piu’ frequenti nell’adulto, ma nel bambino sono molto piu’ gravi, perche’ qualsiasi tipo di intervento in eta’ infantile va supportato da un’adeguata attivita’ di rieducazione visiva, con tempi di recupero piu’ lunghi e maggiori costi sociali. Inoltre la vista e’ il primo canale di apprendimento, quindi piu’ sono gravi e precoci questi disturbi tanto maggiore e’ la probabilita’ di avere un ritardo psicomotorio”.
Negli ultimi anni, spiegano dal Niguarda, l’approccio alla cura degli occhi del bambino si e’ spostato verso visite ed esami gia’ dai primi sintomi, anche in eta’ neonatale, e verso l’utilizzo delle stesse metodiche di cura impiegate con successo per gli adulti. Tutto questo richiede un approccio multidisciplinare al problema, che il convegno affronta ospitando sia i maggiori esperti italiani di oculistica pediatrica, sia tutti gli specialisti coinvolti nel delicato iter diagnostico-terapeutico delle malattie del bambino.