Focolai sospetti per batteri e biofilm patogeni
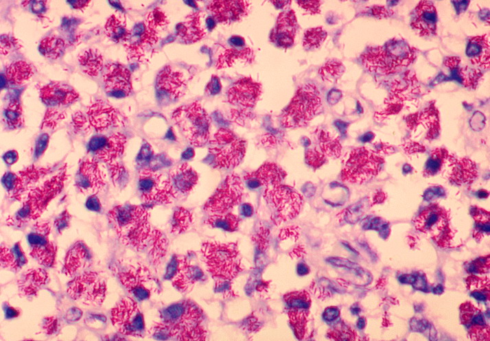
Mycobacterium avium intracellulare

Gli erogatori delle docce, specie se in plastica e non in metallo, possono rappresentare la sede ideale per la formazione di biofilm di potenziali agenti patogeni.
La doccia quotidiana potrebbe essere un’abitudine meno salutare di quanto si pensi, stando ai risultati di uno studio condotto da ricercatori dell’Università della California a Boulder che hanno scoperto che circa il 30 per cento degli impianti da loro controllati ospitava livelli significativi di Mycobacterium avium, un patogeno in grado di provocare infezioni polmonari, a scapito per lo più di persone che abbiano un sistema immunitario compromesso, ma che può occasionalmente colpire anche persone sane.
La ricerca fa parte di una serie di indagini che sono state intraprese in relazione al fatto che negli ultimi decenni negli Stati Uniti si è assistito a un progressivo aumento dei casi di infezioni polmonari legate a micobatteri differenti da quello che provoca la tubercolosi e in particolare a M. avium.
Il fatto di rilevare la presenza di un basso livello di patogeni nelle acque municipali, ha osservato Norman Pace, che ha diretto la ricerca e firma un articolo sui “Proceedings of the National Academy of Sciences” (PNAS), non è poi così sorprendente, tuttavia in una buona percentuale di casi si è rilevata la presenza di M. avium e altri patogeni affini raggruppati in sottili biofilm all’interno dell’erogatore della doccia con una carica batteria cento volte superiore a quella rilevabile nell’acqua dell’acquedotto municipale.”
Studi precedenti avevano mostrato che è abbastanza comune rinvenire fiorenti colonie di micobatteri sulle tende di plastica delle docce, soprattutto in corrispondenza delle tracce di materiale saponoso che vi possono rimanere adese. La presenza di biofilm negli erogatori è però più preoccupante perché il getto che colpisce il viso può più facilmente portare all’inalazione di goccioline in cui sia presente l’agente patogeno.
Anche se il problema non è da drammatizzare – ha commentato Pace – in quanto un sistema immunitario efficiente è in grado di resistere a questo tipo di aggressioni, “come in tutte le cose un piccolo rischio c’è”, per ridurre il quale il ricercatore suggerisce di preferire erogatori in metallo e non in plastica, un materiale che sembra rendere più facile la formazione dei biofilm batterici.