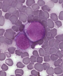
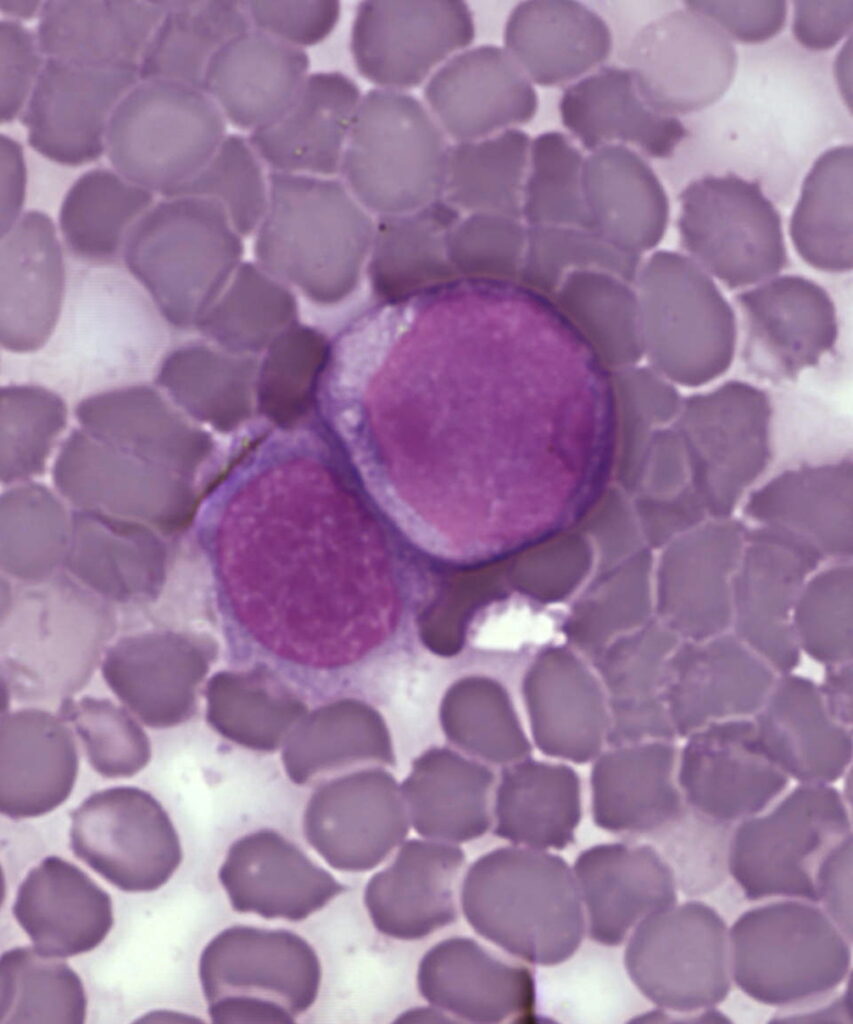
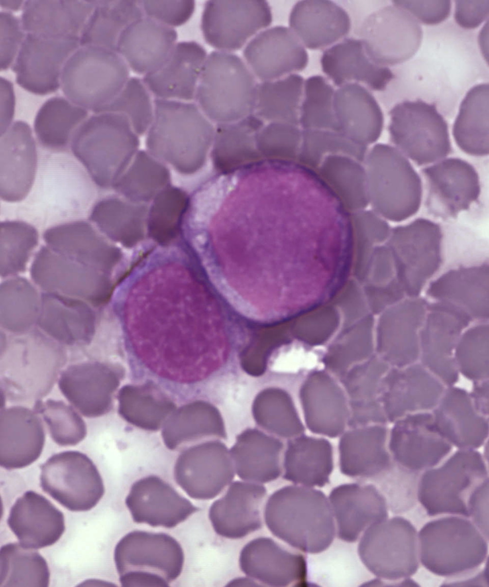
Leucemia: è una proteina che scandisce la riproduzione delle cellule cancerose

Washington, 4 set. – Un gruppo di ricercatori dell’universita’ di Syracuse, guidato da Michael Cosgrove, ha individuato una proteina che sembra giocare un ruolo chiave nella sovraproduzione di cellule tumorali nella leucemia. Questa molecola avrebbe pero’ un ruolo chiave anche in altre forme di tumori. La notizia e’ stata segnalata dalla rivista Journal of Biological Chemistry che l’ha riportata come “notizia della settimana”. Nel corso delle loro ricerche sul complesso proteinico che porta al differenziamento delle cellule leucemiche, i ricercatori si sono imbattuti in una specifica proteina che e’ stata battezzata W-RAd. Questa proteina in pratica segnala alle cellule cancerogene che si sono gia’ formate di riprodursi e di proliferare in maniera abnorme. “Se ora riusciamo a scoprire un modo per spegnere questo interruttore – ha spiegato Cosgrove – allora potremmo essere in grado di rallentare la crescita del tumore e anche di bloccarlo”.