Leucemia linfoblastica acuta nel bambino: oncoematologi studiano un’altra chiave

Padova, Firenze, Monza. Dalla Associazione Italiana Ematologia Oncologia Pediatrica (AIEOP) un contributo importante. La precoce valutazione della sensibilità della Leucemia ai farmaci, identificata dai ricercatori Italiani sarà il nuovo standard prognostico per le Leucemie Linfoblastiche Acute in età pediatrica utilizzato da oggi in Italia e in diversi centri di tutto il mondo.
Questo lavoro – frutto di oltre otto anni di ricerche e studio dell’équipe guidata dal laboratorio di Padova, diretto dal prof. Giuseppe Basso in collaborazione con i centri di Monza e l’Ospedale Pediatrico Meyer di Firenze (Maurizio Aricò, Direttore del Dipartimento di Oncoematologia pediatrica), è stato giudicato così innovativo da guadagnarsi – oltre alla pubblicazione – un editoriale di commento da parte uno dei massimi esperti mondiali di Leucemia Linfoblastica (Ching-Hon Pui, di Memphis) sulla prestigiosa rivista Journal of Clinical Oncology, l’organo di informazione ufficiale della società americana di oncologia clinica (ASCO).
Una scelta che avviene solo in casi di particolare rilevanza scientifica e che negli ultimi anni è raramente avvenuto relativamente a ricerche svolte integralmente nel nostro Paese.
In sintesi, qual è la novità identificata dai ricercatori italiani? La sopravvivenza “libera da eventi a 5 anni” per i bambini e gli adolescenti affetti da Leucemia Linfoblastica Acuta (LLA) ha raggiunto, con i più recenti trial clinici, l’ 86% dei pazienti. Un traguardo importante rispetto alla mortalità di 10 anni fa, ma del quale non ci si può certo accontentare.
L’obbiettivo è stato, quindi, quello di rivolgersi all’utilizzo di metodiche sensibili e specifiche per lo studio della Malattia Residua Minima (MRM), come per esempio la citofluorimetria a flusso e la PCR, per il monitoraggio dei pazienti nel corso della terapia per arrivare a definire, per ogni singolo piccolo paziente, una terapia mirata; quindi terapie a minor intensità per i pazienti a basso rischio o intensificazione terapeutica con eventuale infusione di cellule staminali emopoietiche per i pazienti ad alto rischio. In pratica, attraverso questa metodica sperimentata da AIEOP, è possibile identificare in pochissimi giorni quale sarà la prognosi del paziente e definire cura ed assistenza in base alla previsione.
La ricerca.
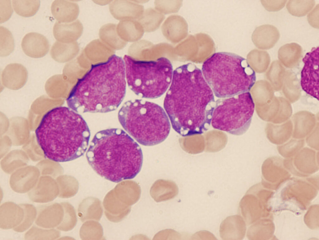
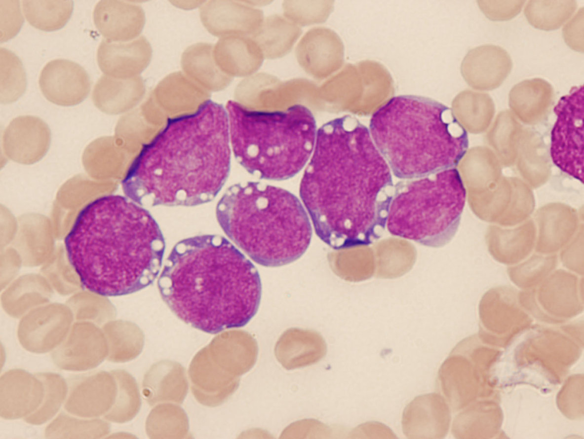
Nello studio “Risk of Relapse of Childhood Acute Lymphoblastic Leukemia Is predicted by Flow Cytometric Measurement of Residual Disease on day 15 Bone Marrow”, (pubblicato su Journal Clinical Oncology) l’équipe coordinata dal prof. Basso in collaborazione con i centri di Monza e l’Ospedale Pediatrico Meyer di Firenze (Maurizio Aricò, Direttore del Dipartimento di Oncoematologia pediatrica) e la partecipazione di centri oncoematologici pediatrici Italiani, ha studiato il significato prognostico della Malattia Residua Minima in 815 pazienti pediatrici affetti da leucemia linfoblastica. Nei primi 15 giorni della terapia di induzione si è rilevato che la metodica di misurazione della MRM con citofluorimetria riveste un forte valore prognostico, indipendente rispetto a quelli precedentemente utilizzati e riconosciuti, come l’età del bambino e il numero di globuli bianchi alla diagnosi. Un nuovo indicatore, quindi, capace di indirizzare gli specialisti all’approccio terapeutico della leucemia.
La novità.
I dati del gruppo che ha condotto questa ricerca sono innovativi in due aspetti:
1. confermano che lo studio della MRM eseguito come standard al termine del primo mese di terapia può essere eseguito più precocemente, con un evidente vantaggio nella possibilità di personalizzare ulteriormente la terapia già nelle prime settimane. In pratica il trattamento verrà adattato sempre più alle esigenze dei piccoli pazienti, riducendo la intensità per coloro che hanno una eccellente risposta iniziale, o al contrario utilizzando una terapia ad intensità completa per coloro che lo richiedono .
2.L’analisi della MRM, solitamente eseguita mediante metodiche molecolari definite “PCR”, è eseguibile anche in citofluorimetria. Questa metodica è assai più rapida e anche più economica della PCR. Inoltre può essere eseguita nella pressoché totalità dei pazienti, per minori limitazioni tecniche e per una più facile applicabilità. Da questo discende anche la sua applicazione possibile in situazioni logistiche meno avanzate di quella Italiana, come ad esempio i paesi con risorse limitate, ove – ricordiamo – vive il maggior numero dei bambini che nel mondo si ammalano di leucemia. Su queste basi potrà essere utilizzata in ogni paese, questo è confermato dal fatto che questo approccio verrà
utilizzato dal prossimo anno in tutti i paesi in cui si useranno i protocolli terapeutici ispirati dal gruppo cooperativo IBFM, tra cui ; cioè nei paesi dell’America Latina ed, dell’ Europa dell’est oltre a quelli
Europei (Germania, Italia Svizzera Austria ecc).
Va sottolineato che i dati citometrici possono essere facilmente sottoposti a controllo di qualità, in quanto possono essere trasferiti via internet per una revisione centralizzata, modalità che verrà già attivata entro l’anno prossimo tra fatta tra il laboratorio di riferimento Argentino e quello di Padova.
Inoltre i ricercatori padovani hanno già dimostrato come attraverso la nuova modalità le analisi non solo sono più sensibili, ma anche più specifiche della tradizionale valutazione morfologica.
Una storia tutta Italiana che permetterà di curare i piccoli affetti da leucemia in tutto il mondo.
Una storia a lieto fine? Per una volta sì. Nata in un centro italiano, cresciuta con un’equipe italiana e sostenuta da sponsor nazionali che hanno creduto nei nostri “cervelli”. Fondazione Città della Speranza, Fondazione Cariparo, Associazione Italiana per la Ricerca sul cancro, Comitato Maria Letizia Verga, Associazione Noi per Voi e Ministero dell’Università e delle Ricerca Scientifica hanno permesso il lavoro di questi otto anni.