Perdita rapida udito: potrebbe essere sintomo del morbo di Creutzfeldt-Jakob

0
Perdita rapida udito: potrebbe essere sintomo del morbo di Creutzfeldt-Jakob

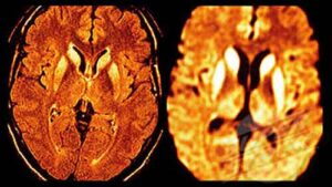
Una improvvisa perdita di udito da entrambi i lati puo’ essere un sintomo del morbo di Creutzfeldt-Jakob, una patologia della stessa famiglia della ‘mucca pazza’.Creutzfeldt-Jakob Lo afferma uno studio dell’ospedale Henry Ford di New York che verra’ presentato al prossimo congresso della American Academy of Neurology. La conclusione e’ dovuta al caso di un uomo di 67 anni curato dall’ospedale che ha perso l’udito a entrambe le orecchie progressivamente per due mesi, e a cui solo dopo e’ stata diagnosticata la malattia. Secondo i neurologi dell’ospedale e’ solo la quarta volta che e’ possibile documentare questo sintomo associato al morbo, ma le evidenze sono tali che i medici dovrebbero prendere in considerazione l’ipotesi quando riscontrano una perdita di udito di questo tipo: “La sordita’ – spiegano – e’ stata seguita dal declino cognitivo tipico della malattia, che ha portato a morte in un mese”.

What do you feel about this?

Rispondi