Sindrome di Down: le staminali della pelle ne rivelano i motivi

1
Down-Syndrome


Neuroni lenti e con un rapido invecchiamento: sono le principali caratteristiche osservate analizzando le connessioni neurali prodotte in laboratorio a partire da cellule staminali della pelle di persone con la sindrome di Down. Lo studio, realizzato da un gruppo di ricercatori dell’ l’Universita’ del Wisconsin di Madison e pubblicato sulla rivista dell’Accademia delle Scienze degli Stati Uniti (Pnas), aiuta a ricostruire le cause del ritardo mentale legato a questa malattia genetica. Down-SyndromePrelevando cellule della pelle di soggetti affetti da sindrome di Down e ‘riportate’ a staminali (ossia cellule non specializzate), i ricercatori statunitensi hanno potuto studiare i dettagli della specializzazione di queste cellule in neuroni e la crescita delle loro connessioni. Lo studio ha evidenziato una riduzione di circa il 60% delle normali connessioni tra neuroni: ”comunicano meno – ha spiegato Anita Bhattacharyya, responsabile del lavoro – sono piu’ calmi.

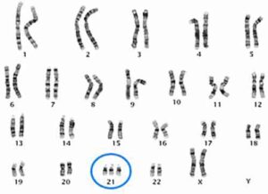
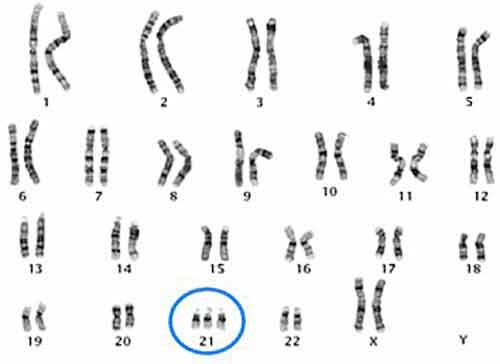
Si tratta di una carenza sufficiente a fare la differenza; anche se si recuperano le connessioni piu’ avanti nel tempo, hai pero’ perso una finestra di tempo critica durante le prime fasi dello sviluppo”. A livello cellulare, lo studio ha inoltre evidenziato un elevato stress ossidativo, ossia una rapida degradazione delle strutture molecolari e quindi un invecchiamento della cellula. I risultati raggiunti dallo studio segnano un importante passo avanti per la comprensione degli effetti dovuti alla sindrome di Down, ossia alla presenza di un cromosoma in piu’ rispetto al normale. ”Anche se si tratta di una sindrome molto comune – ha spiegato Bhattacharyya – e’ sorprendente quanto poco sappiamo di cio’ che avviene nel cervello di chi ne soffre; con queste nuove cellule, possiamo ora guardare al loro sviluppo iniziale”.

What do you feel about this?

1 ha pensato a “Sindrome di Down: le staminali della pelle ne rivelano i motivi

Rispondi