Ricerca: torna in patria un cervello eccellente per cura cancro pancreas. Al via test sull’uomo
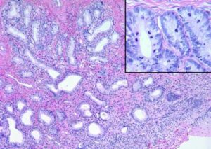
E' rientrato in Italia dagli Stati Uniti con una precisa missione: combattere il tumore del pancreas nella sua forma più...
E' rientrato in Italia dagli Stati Uniti con una precisa missione: combattere il tumore del pancreas nella sua forma più...
Un gene protegge i polmoni dal danneggiamento dovuto allo stress causato da un trapianto o una polmonite. Lo hanno scoperto...
E’ stato avviato il trattamento del primo paziente dello studio di Fase III (NGR015) del farmaco antitumorale sperimentale NGR-hTNF, sviluppato...
Identificato il fattore che innesca la degenerazione dei tessuti nei muscoli che non vengono adeguatramente utilizzati (altro…)
ROMA - Il Messaggero – Individuati 5 nuovi geni responsabili delle malattie croniche dell'intestino, come il morbo di Crohn, malattie...