I telomeri: le nostre clessidre biologiche. Contengono “scritta” la condanna all’invecchiamento
I telomeri sono le nostre "clessidre" cellulari. Nel 2009 gli studi su di loro fruttarono il premio Nobel, e si...
I telomeri sono le nostre "clessidre" cellulari. Nel 2009 gli studi su di loro fruttarono il premio Nobel, e si...
Nuove importanti proprieta' antitumorali di un farmaco sperimentale sono state scoperte dalle equipe guidate da due ricercatori italiani dell'Istituto di...
Staminali sicure, abbondanti e senza bisogno di distruggere embrioni. La "pietra filosofale" della medicina era apparsa nel 2007 in un...
Inibendo una specifica proteina si puo' rallentare un particolare tipo di tumore al seno. E' quanto scoperto da un team...
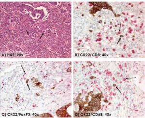
L’infezione da ceppi CagA-positivi è in grado di inibire l’attività di trascrizione della proteina RUNX3, un importante fattore di soppressione...
E' presente nel 25% di tutte le pazienti con carcinoma ovarico e nel 60% delle donne affette da questo tipo...