Passi avanti nella comprensione dei meccanismi che portano alla formazione delle metastasi cerebrali.
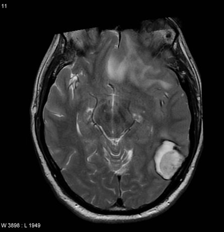
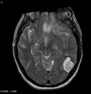
Formazioni metastatiche cerebrali

Alcuni ricercatori dell’Howard Hughes Medical Institute e del Memorial Sloan-Kettering Cancer Center hanno identificato tre geni che cooperano nel diffondere al cervello il tumore alla mammella. Il loro studio, pubblicato su Nature, indica che le cellule del tumore alla mammella per invadere il cervello usano alcune strategie simili a quelle impiegate per metastatizzare il polmone.
“Questa ricerca, prima nel suo genere, apre una finestra sui meccanismi che portano alla metastatizzazione del cervello” spiega Joan Massagué dell’Howard Hughes Medical Institute.
Le cellule del tumore alla mammella impiegano anni per metastatizzare, diversamente dal tumore al polmone. Quando queste cellule si diffondono in organi distanti, infatti, i nuovi tumori possono non rivelarsi per molti anni, anche decenni, poiché nel momento in cui esse vengono rilasciate dal tumore originario, non sono ancora altamente cancerose. Lo diventano invece nel tempo, acquisendo l’espressione di alcuni specifici geni. Alcuni in particolare permettono a queste cellule di attraversare la barriera ematoencefalica per colonizzare il cervello.
Per scoprire quali modificazioni genetiche sono associate allo sviluppo della capacità di metastatizzare il cervello, i ricercatori hanno impiantato cellule tumorali prelevate da pazienti con tumore alla mammella in stadio avanzato, nei topi. Successivamente le cellule che hanno generato il tumore nel cervello dei topi sono state isolate ed analizzate. Sono stati ritrovati 243 geni la cui espressione appariva anormale, di cui 17 effettivamente associati alle metastasi cerebrali.
“Le cellule che mostrano l’attivazione di questi geni sono maggiormente pronte ad invadere il cervello del topo” ha spiegato Massagué. “Abbiamo anche osservato che le pazienti in cui nel tumore primario vi era l’attivazione di questi geni avevano un tasso più elevato di metastasi cerebrali”. Il team ha già approfondito lo studio di tre dei geni identificati (COX2, HBEGF, ST6GALNAC5) riuscendo a ridurne l’attività e la conseguente capacità di infiltrare un modello cellulare di barriera ematoencefalica. In particolare ST6GALNAC produce una proteina che normalmente modifica la superficie delle cellule metastatiche che raggiungono il cervello, un trucco usato dalle cellule tumorali per insinuarsi nel cervello. L’ulteriore caratterizzazione degli altri geni fornirà nuove idee per la terapia del cancro, in particolare delle metastasi.
Fonte: http://www.assobiotec.it