POLICLINICO MILANO SVELA SEGRETO DI ANEMIA RARA

0
anemia-diseritropoietica

anemia-diseritropoieticaMilano, 6 giu. (Adnkronos/Adnkronos Salute) – E’ un’anemia rara che in teoria colpisce appena 400 persone in tutto il mondo. Ma in pratica i malati di Cda II (anemia diseritropoietica congenita di tipo II) potrebbero essere molti di piu’: pazienti ancora orfani di diagnosi e terapie, che grazie a una ricerca milanese potrebbero essere riconosciuti e aiutati. Il team di Alberto Zanella, direttore dell’Unita’ operativa di ematologia 2 della Fondazione Policlinico meneghina, ha infatti scoperto un gene potenzialmente responsabile della Cda II, ad oggi incurabile. Lo studio e’ uno dei cinque migliori contributi europei selezionati e messi ‘in vetrina’ a Berlino, al Presidential Symposium organizzato nell’ambito del XIV Congresso dell’Associazione europea di ematologia (la Eha).

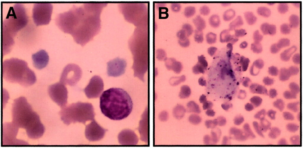
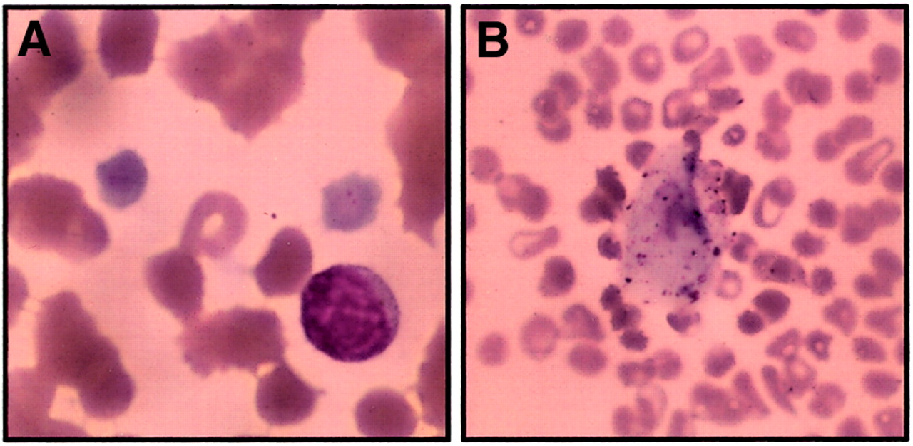
Le anemie diseritropoietiche congenite – riferisce l’Irccs di via Sforza in una nota – sono caratterizzate da una inefficiente produzione di globuli rossi nel midollo osseo, e da particolari alterazioni strutturali dei loro precursori (gli eritroblasti). Sono stati descritti tre principali tipi di Cda (I, II e III) e numerose varianti piu’ rare. La II e’ in assoluto la piu’ frequente, e causa anemia variabile da moderata a grave (con morte intrauterina in alcuni casi), ittero, ingrandimento della milza e sovraccarico di ferro. Al momento non si puo’ curare, ma solo trattare con terapie che possono contrastare l’accumulo di ferro ed evitare quindi depositi di metallo negli organi vitali, spiegano gli esperti.


E’ da molto tempo che i ricercatori di settore danno la caccia al gene ‘imputato’ nella Cda II, perche’ conoscerlo migliorerebbe il counselling alle famiglie dei pazienti e la classificazione di queste rare anemie. Patologie attualmente sottostimate, perche’ diagnosticabili con test disponibili in pochi centri di riferimento.

Rispondi