Progetto SCOOTT per debellare la cecità fluviale

L’oncocercosi, conosciuta come cecità fluviale, risulta essere la terza causa di cecità di natura infettiva nel mondo. Ricercatori ed esperti di medicina in Europa e in Africa stanno collaborando per riuscire a combattere questa malattia. Il lavoro fa parte del progetto SCOOTT (“Sustainable control of onchocerciasis today and tomorrow”) project, finanziato nell’ambito dell’area tematica “Attività specifiche di cooperazione scientifica internazionale” (INCO) del Sesto programma quadro (6° PQ). Il finanziamento del progetto ammonta a 2,8 milioni di euro.
Nel corso di un workshop recente in Camerun ricercatori ed esperti hanno indagato i vari modi di controllare l’oncocercosi. Il coordinatore di SCOOTT, il professor William David Taylor dell’università di Edinburgh (Regno Unito) ha illustrato i maggiori risultati ottenuti finora da SCOOTT, e il dott. Benjamin Makepeace della Liverpool School of Tropical Medicine (Regno Unito), uno dei partner SCOOTT, ha parlato a lungo del trattamento con antibiotici della malattia nel bestiame presi come modelli sperimentali. Secondo i partner del progetto SCOOTT, nonostante le difficoltà affrontate – come ad esempio la mancanza di modelli di prova appropriati – essi sono tuttavia riusciti a individuare modelli bovini e di topi adatti ad essere usati. Il professor Meba Banla dell’università di Lom (Togo) ha parlato del trattamento dell’oncocercosi oculare attraverso la combinazione di ivermectina e doxiciclina, mentre il professor Adjei Ohene del Kumasi Collective Research Centre nel Ghana ha parlato del trattamento antibiotico dell’oncocercosi nell’uomo.

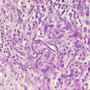
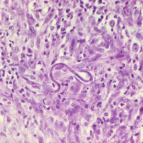
Stando ai ricercatori, una terapia combinata di Ivermectin in determinati casi – non trattamento di massa – produrrà dei risultati a breve termine fornendo un quadro per la visione a lungo termine di una chemioterapia/vaccino per la cecità fluviale. Il progetto SCOOTT, che si concluderà alla fine di ottobre 2010, sta cercando di perfezionare i regimi chemioterapici già disponibili sul mercato e di individuare nuovi target e approcci per il controllo integrato, che prevede una combinazione di chemioterapia e vaccinazione. Ciò potrebbe assicurare un controllo sostenibile della malattia. Il consorzio sta combinando insieme studi clinici basati sulla comunità e trial di laboratorio, usando sistemi modello per svolgere il lavoro di base per lo sviluppo di un vaccino. Finora hanno scoperto che la doxiciclina potrebbe essere somministrata nelle zone dov’è endemico un altro patogeno della filariosi (ovvero relativo alla trasmissione di vermi) chiamato loiasi o Loa loa. I ricercatori e gli esperti di medicina stanno cercando di affrontare la cecità fluviale nel Camerun e nell’Africa subsahariana da oltre due decenni. Uno dei membri del progetto SCOOTT, il dott. Nicholas Tendongfor della Research Foundation in Tropical Diseases and Environment in Camerun, ha confermato una diminuzione dell’80% dei casi di cecità fluviale nelle zone dove ai pazienti era stata somministrata doxiciclina per una durata di 42 giorni. Si tratta di uno sviluppo positivo perché il farmaco usato in precedenza – l’ivermectina – viene somministrato al paziente per 16 giorni prima che si possa riscontrare un qualche risultato. La cecità fluviale è causata da un verme parassitario, l’Onchocerca volvulus. Le larve del verme sono diffuse dalla mosca nera Simulium, che trasmette la malattia all’uomo attraverso le sue punture. Gli ultimi dati mostrano che la cecità fluviale colpisce circa 18 milioni di persone in Africa e Sudamerica, e gli esperti sostengono che se si è infettati alla nascita, si va incontro a cecità completa con il raggiungimento dei quarant’anni circa.
Programmi dell’UE di cooperazione internazionale in materia di ricerca.
Fonte: Sito di informazioni allAfrica.com e progetto SCOOTT Documenti di Riferimento: Sulla base di informazioni fornite dal sito di informazioni “www.allafrica.com” e dal progetto SCOOTT