Telethon: trovato il gene responsabile di una rara forma di anemia

Lo studio, condotto presso l’Università “Federico II” di Napoli, avrà una ricaduta immediata in campo diagnostico: è stato identificato il gene responsabile di una rara malattia ereditaria del sangue, l’anemia diseritropoietica congenita di tipo II: ad annunciarlo è uno studio ( che si è svolto nei laboratori del CEINGE di Napoli) è stato finanziato in parte da Telethon e pubblicato sulle pagine di Nature Genetics da Achille Iolascon, professore di Genetica Medica presso l’Università “Federico II” di Napoli.
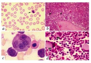
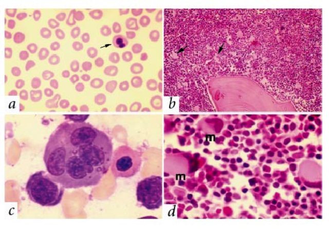
Le anemie diseritropoietiche congenite (CDA) sono un gruppo eterogeneo di malattie ereditarie, di cui quella di tipo II è la più frequente. Si tratta di una patologia molto rara, che secondo le stime disponibili colpisce al massimo uno su 100.000 nuovi nati. Il gruppo diretto da Achille Iolascon, che studia questa malattia da almeno vent’anni, ha effettuato fino ad oggi 140 diagnosi. In particolare, la CDA di tipo II è caratterizzata da una scarsa capacità di produzione dei globuli rossi del sangue da parte del midollo osseo. Le poche cellule prodotte presentano inoltre alcune anomalie, soprattutto a carico della membrana cellulare. Nel tempo questi pazienti vanno spesso incontro a gravi complicazioni come emocromatosi, cirrosi epatica, diabete, calcoli biliari, insufficienza cardiaca.
Fino ad oggi i ricercatori sapevano di trovarsi di fronte a una malattia ereditaria, di cui conoscevano sia la distribuzione geografica (questo tipo di anemia è più frequente nelle aree mediterranee e nel sud Italia) sia l’andamento clinico, ma non il gene responsabile. Sapevano però dagli studi precedenti che si trovava sul cromosoma 20 e che erano necessarie due copie mutate del gene perché la patologia si manifestasse: si trattava cioè di una malattia ad ereditarietà di tipo recessivo.
Partendo da queste premesse, Iolascon e i suoi collaboratori hanno provato ad andare alla caccia di questo gene. Estraendo il Dna da due pazienti affetti, hanno effettuato un tipo particolare di analisi genetica che ha permesso di restringere ulteriormente la regione del cromosoma 20 in cui doveva trovarsi il gene “candidato”. Analizzando poi le caratteristiche dei 23 geni presenti in questa regione, hanno individuato quello coinvolto in funzioni cellulari che risultano essere compromesse nella anemia diseritropoietica di tipo II: si tratta di SEC23B, un gene noto per produrre normalmente una proteina coinvolta nel trasporto di sostanze all’interno delle cellule e in particolare nella maturazione dei globuli rossi.
Il gene in questione è stato dunque ribattezzato CDAN2 e permetterà molti avanzamenti in campo diagnostico. E’ infatti già possibile offrire un test genetico a chi sospetti di essere portatore della malattia (perché per esempio ci sono dei casi in famiglia) e voglia pianificare una gravidanza, oppure di fare test prenatali sul feto per diagnosticare le forme di anemia più gravi.