Sclerodermia e granulomatosi di Wegener:probabili cure da nuove molecole anti-cancro
MILANO – Continua in reumatologia, come in oncologia, il cammino dei nuovi farmaci, che passo dopo passo cercano di soppiantare le cure tradizionali.
LA SCLERODERMIA – Un primo studio riguarda la sclerodermia, anche detta sclerosi sistemica, niente a che vedere con la sclerosi multipla con cui rischia talvolta di essere confusa. La malattia prende nome da un progressivo ispessimento e indurimento della pelle, da dove col tempo, la fibrosi si può estendere agli organi interni, in particolare ai polmoni, ostacolandone in maniera irreversibile la funzione. Spiera ha provato quindi a somministrare a trenta persone con la forma più grave e diffusa della malattia il capostipite dei nuovi farmaci biologici, l’imatinib, più noto col nome commerciale di Glivec, utilizzato contro alcuni tipi di leucemia e tumori. «Lo studio è ancora in corso» precisa il reumatologo newyorchese, «ma vista l’importanza delle osservazioni che stiamo facendo, abbiamo voluto mettere a conoscenza di tutti questi dati preliminari». Dopo un anno di cura, infatti, secondo gli autori, la malattia non si sarebbe limitata a rallentare il suo decorso, ma ne avrebbe invertito l’andamento. «L’ispessimento della pelle, misurato con un apposito metodo, è calato del 23 per cento» riferisce Spiera, «ma quel che più conta è l’effetto che abbiamo registrato a livello polmonare, con un miglioramento del 10 per cento circa nelle prove di funzionalità respiratoria e nella capacità dell’ossigeno di passare dai polmoni al circolo sanguigno».
I DUBBI – Il dato si riferisce a solo 18 pazienti, gli unici che hanno già seguito la cura per un anno. «Molti partecipanti hanno abbandonato lo studio a causa degli effetti collaterali del farmaco» interviene Raffaella Scorza, docente di immunologia clinica e allergologia dell’Università degli studi di Milano e responsabile del Centro di riferimento regionale per le malattie autoimmuni sistemiche .
«E anche i risultati riferiti dagli autori del lavoro, a ben guardare i dati, sono meno eclatanti di quanto può sembrare a prima vista». Secondo l’esperta milanese non è vero neppure che, come sostengono gli autori della ricerca, questa sia la prima cura disponibile nei confronti della sclerodermia: «Ne è prova il fatto che, fino a qualche anno fa, dopo dieci anni dalla diagnosi, sopravviveva un malato su due, mentre oggi, dopo vent’anni da quando si scopre di avere la malattia, la sopravvivenza è dell’ottanta per cento» spiega. «Merito soprattutto di una diagnosi precoce e di una sorveglianza attenta, che permette di rallentare l’evoluzione in generale e di intervenire in maniera mirata sui danni ai diversi organi non appena questi si manifestano».
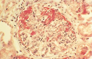
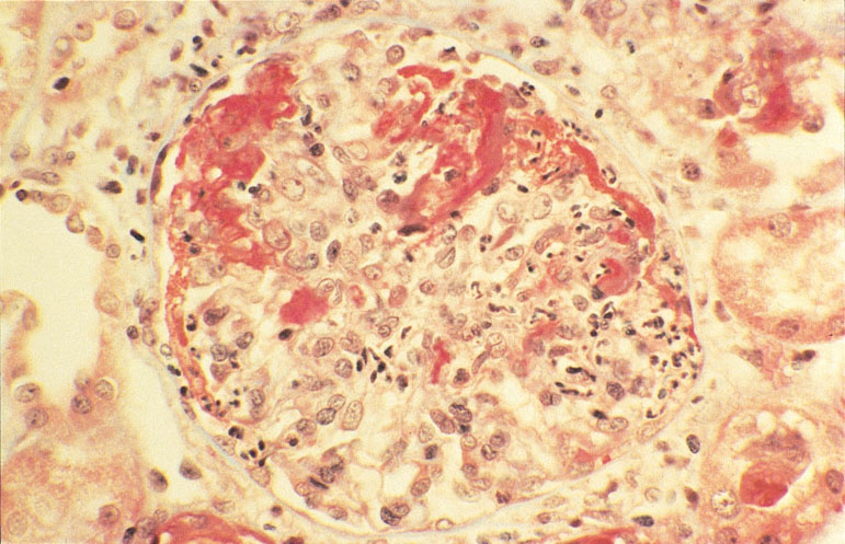
MALATTIA DI WEGENER – «Ancora migliore è la probabilità di guarire quando si tratta di una granulomatosi di Wegener» prosegue Raffaella Scorza. «Questo tipo di vasculite si risolve nella grande maggioranza dei casi con le cure di cui già disponiamo, purché siano iniziate presto e seguite nel migliore dei modi». Esiste però un piccolo gruppo di malati che non tollera i medicinali utilizzati contro questa rara forma di infiammazione dei piccoli vasi sanguigni che colpisce soprattutto i polmoni. «In questi casi, e solo in questi, è lecito lasciare la strada più sicura e provare a ricorrere ad altri mezzi, come i nuovi farmaci mirati» afferma Scorza. «Tra questi il rituximab si è spesso rivelato efficace». Spiera ha messo a confronto proprio questo prodotto, per alcune forme di artrite reumatoide oltre che per certi linfomi, con la ciclofosfamide, che rappresenta la cura standard in questa malattia. Quasi 200 malati con forme gravi di granulomatosi di Wegener e altre malattie molto simili, in nove diversi centri distribuiti negli Stati Uniti, hanno ricevuto l’uno o l’altro di questi medicinali, senza che né loro né i loro medici sapessero quale dei due principi attivi fosse contenuto nelle compresse. Gli effetti nei due gruppi sono stati sovrapponibili, solo con un leggerissimo vantaggio tra chi riceveva la nuova cura. «Si può dire che i due approcci siano quindi equivalenti» conclude il ricercatore statunitense. «Nelle persone in cui la ciclofosfamide provoca gravi effetti collaterali oppure in quelle ancora giovani che con il farmaco tradizionale rischiano di perdere la fertilità, il rituximab può quindi rappresentare una valida alternativa».