Glioblastoma: raddoppiata in molti casi la sopravvivenza

0
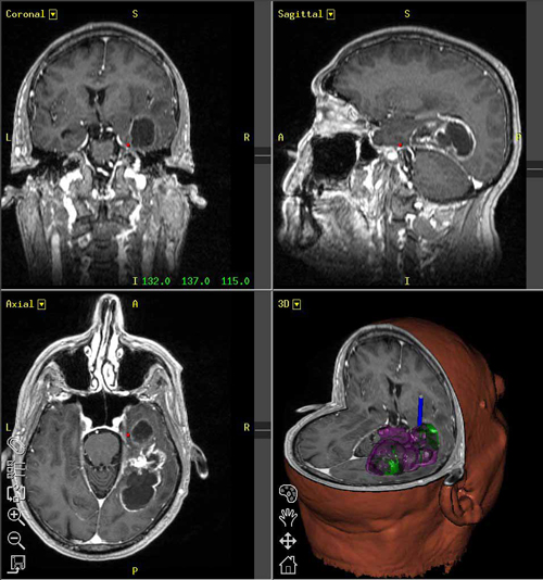
glioblastoma

La sopravvivenza a una delle forme piu’ aggressive di tumore al cervello e’ raddoppiata negli ultimi 30 anni. Nuovi dati dimostrano che la meta’ dei pazienti e’ ancora viva dopo la diagnosi, fatto impensabile una generazione fa.

Lo ha detto Roy Rampling, docente dell’Universita’ di Glasgow, al quotidiano britannico ‘Daily Telegraph’. Trenta anni fa meno di una persona su dieci affetta da un tumore glioblastoma multiforme e’ sopravvissuta per piu’ di sei mesi. Questo aumento dei tempi di sopravvivenza, secondo i ricercatori, sarebbe dovuto al miglioramento della diagnosi e dei trattamenti: da un lato i ‘marker genetici’ permettono di individuare prima i tumori, dall’altro la ricerca permette di prevedere il funzionamento delle terapie e quindi di crearne alcune su misura. “C’e’ ragione di essere ottimisti”, ha spiegato Rampling, “credo fermamente che la nostra migliore opportunita’ per ulteriori progressi e’ quella di aumentare il finanziamento alla ricerca di laboratorio e piccoli studi innovativi” .

What do you feel about this?

Rispondi