Il nucleo cerebrale che stabilisce l’attenzione della vista
Isolare gli oggetti su cui si è fissata la nostra attenzione dagli elementi che potrebbero distrarci è il compito di una regione cerebrale che fa parte del talamo: il nucleo caudato, detto anche pulvinar. La scoperta è di un gruppo di ricerca statunitense che è riuscito a documentare questa importante funzione visiva in soggetti vivi grazie alla risonanza magnetica funzionale.
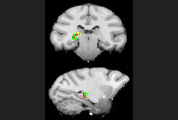
Il nucleo caudato, o pulvinar, uno dei più importanti nuclei del talamo, è coinvolto nella discriminazione visiva tra gli stimoli su cui è fissata l’attenzione e gli elementi di distrazione circostanti: è quanto hanno stabilito Jason Fischer e David Whitney del Dipartimento di Psicologia dell’Università della California a Berkeley, che firmano in proposito un articolo pubblicato sulla rivista “Nature Communications”.
Secondo gli attuali modelli, nel cervello dei mammiferi questa struttura ha un’importante funzione di integrazione degli stimoli, soprattutto in relazione all’attenzione visiva, ma determinare con esattezza il suo ruolo finora si era rivelato difficile. Alcuni studi avevano però portato a ipotizzare che servisse a isolare dallo “sfondo” gli oggetti rilevanti dal punto di vista comportamentale.
In uno studio del 1990, per esempio, si era riusciti a disattivare il pulvinar di un emisfero cerebrale di un macaco con il risultato di indurre un deficit nel lato opposto del campo visivo. Tuttavia, il deficit si verificava tuttavia solo se c’erano elementi di distrazione: quando erano assenti, le prestazioni risultavano inalterate.
Più di recente, è stato descritto un caso simile in un essere umano con lesioni del pulvinar in seguito a un ictus: il paziente mostrava una discriminazione visiva compromessa nel lato del campo visivo opposto a quello in cui si era verificato l’ictus, ma solo in presenza di significativi fattori di distrazione.
Questi risultati hanno portano a ipotizzare un coinvolgimento di questo nucleo talamico nella capacità di distinguere fra stimoli significativi e stimoli di distrazione, ma l’ipotesi era stata smentita da altri studi in cui soggetti con lesioni.
Secondo Fischer e Whitney, però, quelle ricerche avevano due grossi difetti. Il primo è che gli studi basati sugli effetti di lesioni utilizzano stimoli di natura diversa e quindi non permettono di arrivare a risultati conclusivi sulla funzione del pulvinar. Il secondo è che riguardano soggetti con lesioni, mentre non si sa nulla di ciò che succede negli esseri umani in salute.
Per colmare questa lacuna, i due ricercatori hanno condotto due esperimenti utilizzando tecniche di imaging a risonanza magnetica funzionale (fMRI) per evidenziare in che modo il pulvinar codifica gli stimoli salienti e i fattori di distrazione quando questi compaiono nello stessa metà del campo visivo del soggetto e quindi sono in competizione tra loro nell’attrarne l’attenzione.
I risulati dei test hanno mostrato che l’attenzione filtra sia le informazioni relative alla posizione sia quelle relative alle caratteristiche intrinseche degli stimoli visivi: la posizione e l’orientamento degli stimoli salienti a cui il soggetto prestava attenzione risultavano codificati con grande precisione, mentre per i fattori di distrazione non emergeva alcuna codifica.
Il risultato indica quindi che il pulvinar è coinvolto nel filtrare l’informazione visiva “di fondo”, aiutando a mantenere la nostra attenzione sugli elementi rilevanti ai fini del comportamento.