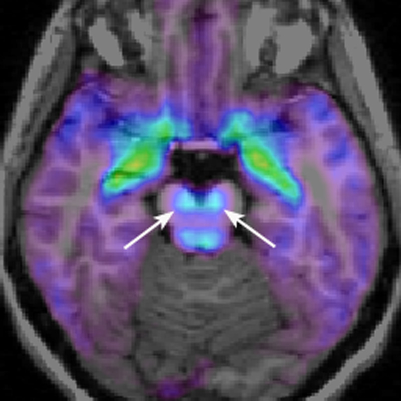
Parkinson: ecco perché i neuroni ‘cedono’.
Le frecce indicano la 'substantia nigra'.

Letale azione simultanea di dopamina, la proteina alfa-sinucleina e canale del calcio.
Scienziati di tutto il mondo sono quanto mai concentrati per capire le cause pratiche che determinano una delle malattie degenerative a livello cerebrale fra le più temibili e note come di fatto è il Morbo di Parkinson addivenendo recentemente alla conclusione che implicati nella morte dei neuroni, che poi avrebbero riflessi determinanti sulla patologia, sono, nell’ordine, il neurotrasmettitori dopamina, un canale per il calcio e la proteina sinucleina.
A dircelo scienziati del Medical Center della Columbia University che hanno pubblicato i loro risultati sulla rivista Neuron, che hanno anche spiegato che esisterebbe adesso la speranza di poter trattare farmacologicamente il Parkinson al fine di recuperare la funzionalità compromessa delle cellule.
Partendo dal presupposto infatti che tremori, impossibilità ad eseguire movimenti validi, come il deambulare, ad esempio, sono dovuti alla distruzione cellulare a livello cerebrale in quella che si chiama ” substantia nigra “, si sarebbe osservato che tali cellule non periscono a causa della dopamina e dei canali del calcio, compresa l’alfa-sinucleina, ma tale morte cellulare avverrebbe per via del fatto che questi tre fattori, unendosi fra di essi, determinano la morte cellulare.
In pratica, i neuroni muoiono perché a livello dei canali di calcio si determinerebbe una quota maggiore di dopamina che viene veicolata all’interno della cellula, tale neurotrasmettitore andrebbe ad interagire con la alfa-sinucliena, i cui residui della reazione che si determinerebbe andrebbero ad intasare i canali deputati a liberare la cellula neuronale dal materiale di scarto che una volta accumulatosi dentro la cellula la ” intossicherebbero ” fino ad ucciderla.

Alla luce di tutto ciò la terapia per il Morbo di Parkinson si farebbe sicuramente più facile e nuove prospettive terapeutiche si profilerebbero all’orizzonte, basterebbe insomma intervenire anche su uno solo dei fattori che intervengono nella morte cellulare come visto, per poter sperare in una guarigione dalla malattia, un obiettivo questo che insieme a tutte le acquisizioni fin’ora raggiunte nell’ambito terapeutico per questa malattia avvicinano il giorno in cui si potrà finalmente parlare di guarigione dal Parkinson.
