Iperallenamento e potenziatori ‘chimici’ muscolari: si rischia di sviluppare il seno
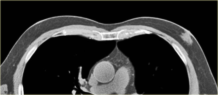
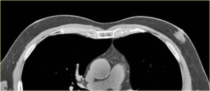
ginecomastia
Londra, 2 dic. – Sono sempre piu’ numerosi gli uomini che sviluppano noduli non-cancerosi al petto causati dall’assunzione di supplementi per potenziare la muscolatura. Le crescite anomale del seno nell’uomo, chiamate ginecomastia, non sono pericolose, ma normalmente si osservano nei maschi adolescenti o nelle persone che assumono specifici farmaci.

Negli adulti sani, queste crescite potrebbero invece essere il segnale di qualche malattia piu’ seria, come il cancro ai testicoli. Il chirurgo Nader Khonji del Singleton Hospital, in Gran Bretagna, fa notare che il numero di uomini con i noduli al petto e’ enormemente aumentato negli ultimi anni: da circa un caso a settimana a quasi uno al giorno. “Credo che cio’ sia dovuto alla crescente attenzione che gli uomini dedicano alla propria immagine corporea”, afferma il chirurgo.
“Per questo si allenano a volte in maniera estenuante e assumono supplementi e steroidi anabolizzanti. Ironicamente questo li porta a sviluppare il seno”, aggiunge. E’ il caso di Michael Thomas, 21 anni, di Swansea, cui e’ stato rimosso uno di questi noduli: aveva preso la creatina, un supplemento del tutto legale che aiuta a costruire massa muscolare. Il ragazzo ha notato un gonfiore sospetto nel torace che continuava a ingrandirsi e ha deciso di farsi visitare dal medico. Khonji spiega che la ginecomastia in se’ non e’ pericolosa, ma i noduli vanno sempre controllati perche’ anche gli uomini possono sviluppare il cancro al seno. “Il tessuto va analizzato dal medico, per accertarsi che non sia quel genere di noduli che indica una malattia piu’ grave, come il cancro ai testicoli”, afferma il chirurgo. L’ospedale di Singleton usa una tecnica innovativa per rimuovere la ginecomastia, la mammotome, di solito usata per le biopsie al seno nelle donne. Si tratta di una procedura molto meno invasiva per i pazienti, che richiede solo mezz’ora di intervento e nessun ricovero in ospedale.