Tumori: si parla di chemioterapia di mantenimento
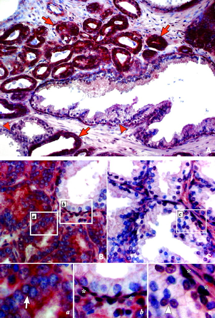
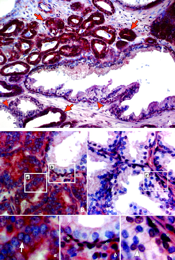
Tessuto prostatico con focolai cancerosi, ingranditi in basso

WASHINGTON, 21 LUG – Usare la chemioterapia continuativamente trattando cosi’ i tumori come malattie croniche da tenere sotto controllo a vita: e’ questa la nuova tendenza per il trattamento delle neoplasie emersa nel corso del meeting annuale dell’American Society of clinical oncology appena tenutosi. Utilizzata sinora principalmente nelle ‘fasi acute’ ossia per bloccare la diffusione dei tumori e poi sospesa una volta ottenuto questo risultato, la chemioterapia – suggeriscono una serie di studi – porterebbe benefici aggiuntivi se somministrata anche come cura di ‘mantenimento’ per prevenire le recidive de tumori prima che si manifestino. In particolare questo nuovo approccio appare particolarmente promettente per il cancro delle ovaie, dei polmoni, il mieloma multiplo e il linfoma non-Hodgkin’s.
La possibilita’ di una chemioterapia cronica, emerge ora anche perche’ i farmaci di nuova generazione sono meno tossici e meglio tollerati dai pazienti di quelli piu’ vecchi. ”I dati ci dicono che in generale ‘fare di piu” e’ meglio contro il cancro sia in termini di durata delle terapie che di quantita’ dei farmaci somministrati, ma ovviamente si tratta di valutare i costi benefici caso per caso”, ha osservato Susan Kelly della Fondazione Usa per la ricerca contro il mieloma. Ovviamente – ha dichiarato al ”New York Times” in un articolo dedicato al tema, Lawrence Einhorn, professore di medicina alla Indiana university – dietro il nuovo trend c’e’ anche la pressione delle case farmaceutiche affinche i loro prodotti vengano usati il prima possibile ed il piu’ a lungo possibile”. Tuttavia una serie di test preliminari indicano che la ‘chemioterapia di mantenimento’ puo’ portare benefici in specifici tipi di tumore e per alcuni pazienti.
(ANSA).