Progetto TETRA: attacco su 4 fronti al carcinoma orale

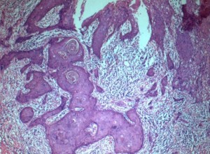
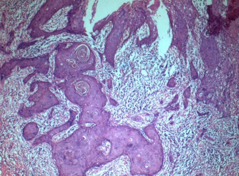
Otto nuovi casi ogni centomila abitanti ogni anno in Italia, con punte raddoppiate nel Nord Est. Oltre 3mila decessi l’anno, dopo terapie chemioterapiche e radio chirurgiche spesso inutili e altamente debilitanti. Una sopravvivenza inferiore al 15-20% per diagnosi tardive. Il tumore del cavo orale, a differenza di tante altre patologie, continua la sua inarrestabile ascesa, complice il vizio della sigaretta, dell’alcol, un’alimentazione scorretta. E se da un lato incidenza e mortalità, tipiche dell’età adulta, sembrano crescere lentamente, dall’altro si assiste ad un ‘boom’ tra le donne e i giovani, con percentuali in costante aumento. Purtroppo la diagnosi precoce è una rarità e quando il paziente giunge allo specialista è ormai troppo tardi: sette su dieci sono già negli stadi avanzati della patologia. La sopravvivenza media a 5 anni infatti è davvero bassa: appena il 40%.
Da queste premesse prende il via il ‘Progetto Tetra’, un attacco su quattro assi al cancro orale che, per la prima volta in Italia, vede unite la Commissione Nazionale Albo Odontoiatri (CAO) della FNOMCeO (Federazione Nazionale Ordini Medici Chirurghi e Odontoiatri), presieduta dal dott. Giuseppe Renzo, e le società scientifiche istituzionali di riferimento in tema di salute orale SIPMO (Società Italiana di Patologia e Medicina Orale), presieduta dal Prof. Lorenzo Lo Muzio, Presidente del Corso di Laurea in Odontoiatria e Protesi Dentaria dell’Università di Foggia, e SIOCMF (Società Italiana di Odontoiatria e Chirurgia Maxillo-Facciale), presieduta dal Prof. Egidio Bertelli dell’Università di Siena, per pianificare un intervento di motivazione ed educazione alla prevenzione primaria, con contestuale presentazione di una rete di riferimento.
Il progetto è stato presentato questa mattina al Ministero della Salute, dove si è tenuto il primo incontro del Corso di aggiornamento professione Nazionale sul Carcinoma orale.
“I dati epidemiologici indicano che il carcinoma orale non è una patologia rara e ormai non interessa più solamente dopo i 50-60 anni – ha affermato il prof. Sandro Pelo, Direttore dell’Unità operativa di Chirurgia maxillo-facciale dell’Università Cattolica di Roma presso il Complesso integrato Columbus- Infatti è per incidenza tra tutti i tumori maligni all’ottavo posto negli uomini e all’undicesimo nelle donne, ed è in crescita tra i giovani. Negli Stati Uniti ogni ora muore una persona per questa terribile malattia”.
Il ‘Progetto Tetra’, coordinato dai Professori Lo Muzio e Pelo e dal dott. Renzo, mira a migliorare la consapevolezza dei professionisti della salute orale sul rischio per il carcinoma orale e la loro capacità di eseguire tecniche di counselling, punta ad a preparare gli stessi operatori alla diagnosi precoce e infine fornisce una Rete di Riferimento di strutture del Sistema Sanitario Nazionale, specializzate nella diagnosi clinica e istopatologica.
“Si tratta di un approccio innovativo per il nostro Paese, che durerà due anni, coinvolgendo odontoiatri appartenenti al SSN o libero professionisti, strutture del SSN di diagnosi clinica e anatomopatologica, altre figure di operatori sanitari come chirurghi maxillo-facciali o igienisti dentali – ha aggiunto il dott. Giuseppe Renzo.
<
E’ stato così definito un corso di aggiornamento itinerante nella penisola per odontoiatri, con docenti esperti, scelti dal consorzio ad hoc CAO-SIPMO-SIOCMF, ed è stato preparato un manuale di riferimento sulla problematica che contiene in allegato un DVD con tutte le presentazioni del corso.
“E’ fondamentale intervenire nelle fasi precoci della malattia, poiché la prognosi è infausta e, purtroppo, non è stato evidenziato alcun miglioramento nella terapia negli ultimi decenni – ha proseguito il Prof. Lo Muzio, responsabile scientifico dell’iniziativa – In 7 casi su 10 la diagnosi avviene troppo tardi e questo è un punto cruciale: la sopravvivenza in questi casi oscilla tra il 5 e il 20% e le persone hanno una pessima qualità di vita, poiché le terapie sono debilitanti e sfiguranti. Arrivare precocemente all’osservazione dello specialista significa avere una sopravvivenza superiore al 90%”.
I fattori di rischio del carcinoma orale sono il fumo (20 sigarette al giorno quintuplicano il rischio), l’abuso di bevande alcoliche, un’alimentazione povera di frutta e verdura, l’infezione da papilloma virus umano, l’esposizione ai raggi ultravioletti, per quanto concerne quello del labbro. Spesso la patologia è preceduta da lesioni precancerose della mucosa orale (leucoplachie, eritroplachie), che richiedono una particolare attenzione da parte del paziente e dell’operatore sanitario.
Si ringrazia ‘Johnson & Johnson’ per il contributo alla diffusione del progetto.
come posso procurarmi il manuale di riferimento e il DVD del corso itinerante relativo al progetto TETRA ?
grazie e mandi (saluto friulano)
emma.dandrea@unipd.it