L’Agenzia Europea per i Medicinali ha accettato la domanda di autorizzazione alla commercializzazione di ixazomib

0
mieloma_multiplo

  Abstract  comunicato internazionale  

Takeda Pharmaceutical Company Limited ha annunciato che l’Agenzia Europea per i Medicinali (EMA) ha accettato la domanda di autorizzazione alla commercializzazione di ixazomib, il nuovo inibitore orale di proteasoma per il trattamento dei pazienti con mieloma multiplo recidivato e/o refrattario.

Questa decisione segue quella del 23 luglio scorso, data in cui il Comitato per i Medicinali per Uso Umano (CHMP) dell’EMA ha concesso la valutazione accelerata del farmaco, considerato di grande interesse sanitario pubblico e, in particolare, innovativo dal punto di vista terapeutico.

La domanda di autorizzazione alla commercializzazione d’ixazomib si basa sui risultati della prima analisi ad interim pre-specificata dello studio clinico di fase 3 TOURMALINE-MM1, un trial internazionale, randomizzato, in doppio cieco, su 722 pazienti disegnato per valutare la superiorità di ixazomib più lenalidomide e desametasone in confronto a placebo più lenalidomide e desametasone in pazienti adulti con mieloma multiplo recidivato e/o refrattario. 

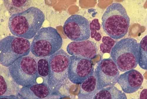
Mieloma multiplo

Il mieloma multiplo è un tumore delle plasmacellule del midollo osseo, cellule immunitarie che hanno la funzione di produrre anticorpi e difenderci dalle infezioni.Nel mieloma, la crescita di alcune plasmacellule avviene in maniera incontrollata dando origine al tumore.

Le plasmacellule patologiche si accumulano nel midollo osseo e producono elevate quantità di immunoglobuline dello stesso tipo che vengono riversate nel sangue circolante, determinando un indebolimento delle difese immunitarie, anemia o difetti nella coagulazione. Inoltre le cellule del mieloma producono una sostanza che stimola gli osteoclasti, responsabili della distruzione del tessuto osseo e, di conseguenza, i pazienti affetti da mieloma sono spesso soggetti a fratture ossee.

What do you feel about this?

Rispondi