Tumore alla vescica, diagnosi precoce individuabile con un test genetico delle urine
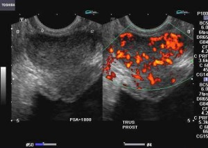
Gli scienziati dell'Agenzia internazionale per la ricerca sul cancro hanno presentato durante il Congresso annuale dell'Associazione Europea di Urologia un...
Gli scienziati dell'Agenzia internazionale per la ricerca sul cancro hanno presentato durante il Congresso annuale dell'Associazione Europea di Urologia un...
Una nuova monografia degli Annali AMD rileva come le gliflozine, inibitori del co-trasportatore di sodio glucosio 2, in grado di...
Basta seguire poche norme igieniche per ridurre il rischio di infezione. Le prove in uno studio italiano Si chiama Cmv,...
Presto un semplice esame delle urine potrebbe rivelare quale sia il trattamento migliore per ogni singolo paziente affetto da tumore...
La notizia della scoperta del nuovo metodo, messo a punto e brevettato dal Mayer, è stata pubblicata sull'autorevole rivista internazionale...
Scoprire il tumore facendo annusare a cani addestrati le urine dell’uomo. Se la letteratura scientifica aveva già evidenziato la possibilità...