Tumori al fegato: nuova tecnica di intervento percutaneo in Umbria

Tre pazienti con tumore primitivo del fegato sono stati sottoposti per la prima volta in Umbria ad una nuova tecnica di termoablazione percutanea ecoguidata, che utilizza un sistema fisico a microonde.
I tre interventi, eseguiti al nosocomio di Marsciano dai dottori Attilio Solinas e Paolo Brunori del servizio di Gastroenterologia ed Epatologia della ASL 2, hanno avuto un buon successo e sono stati effettuati senza l’impiego di anestesia generale.
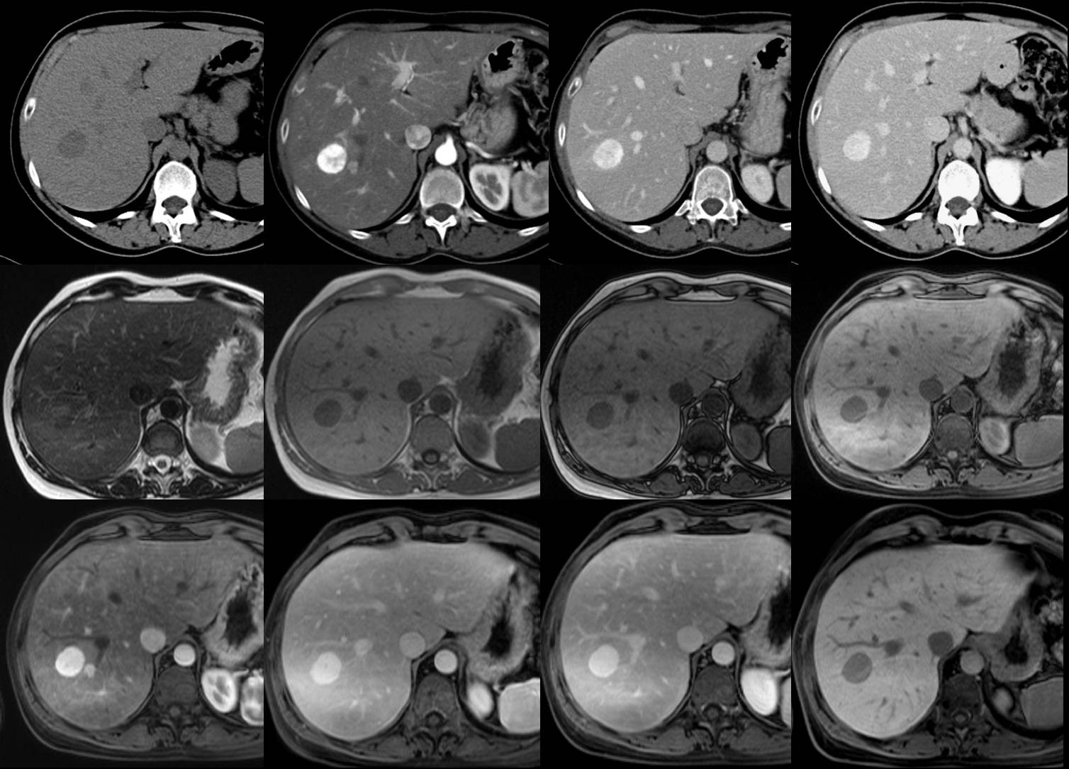
La procedura consiste, secondo quanto spiegato dall’equipe, nell’introduzione mirata di una sonda d’acciaio di calibro sottile (1,6mm) all’interno della lesione cancerosa del fegato, sotto la guida dell’ecografia; l’estremita’ del dispositivo emette microonde all’interno del tumore, che producono calore e ‘bruciano’ le cellule cancerose per un diametro predefinito di circa 3,5 per 5 cm.
La tecnica consente di trattare tumori di piccole dimensioni, sia primitivi che metastatici al fegato, con una durata piu’ breve (10 minuti circa) rispetto alle terapia per cutanee tradizionali (radiofrequenza) e si pone come alternativa alla chirurgia nei casi in cui l’intervento non sia praticabile per motivi tecnici o per l’eta’ e le condizioni cliniche del paziente. L’equipe diretta da Solinas esegue procedure interventistiche per via ecoguidata, quali biopsie addominali e trattamenti dei tumori del fegato, gia’ dal 1985, con una casistica di oltre 6000 casi provenienti dall’Umbria e da fuori regione.