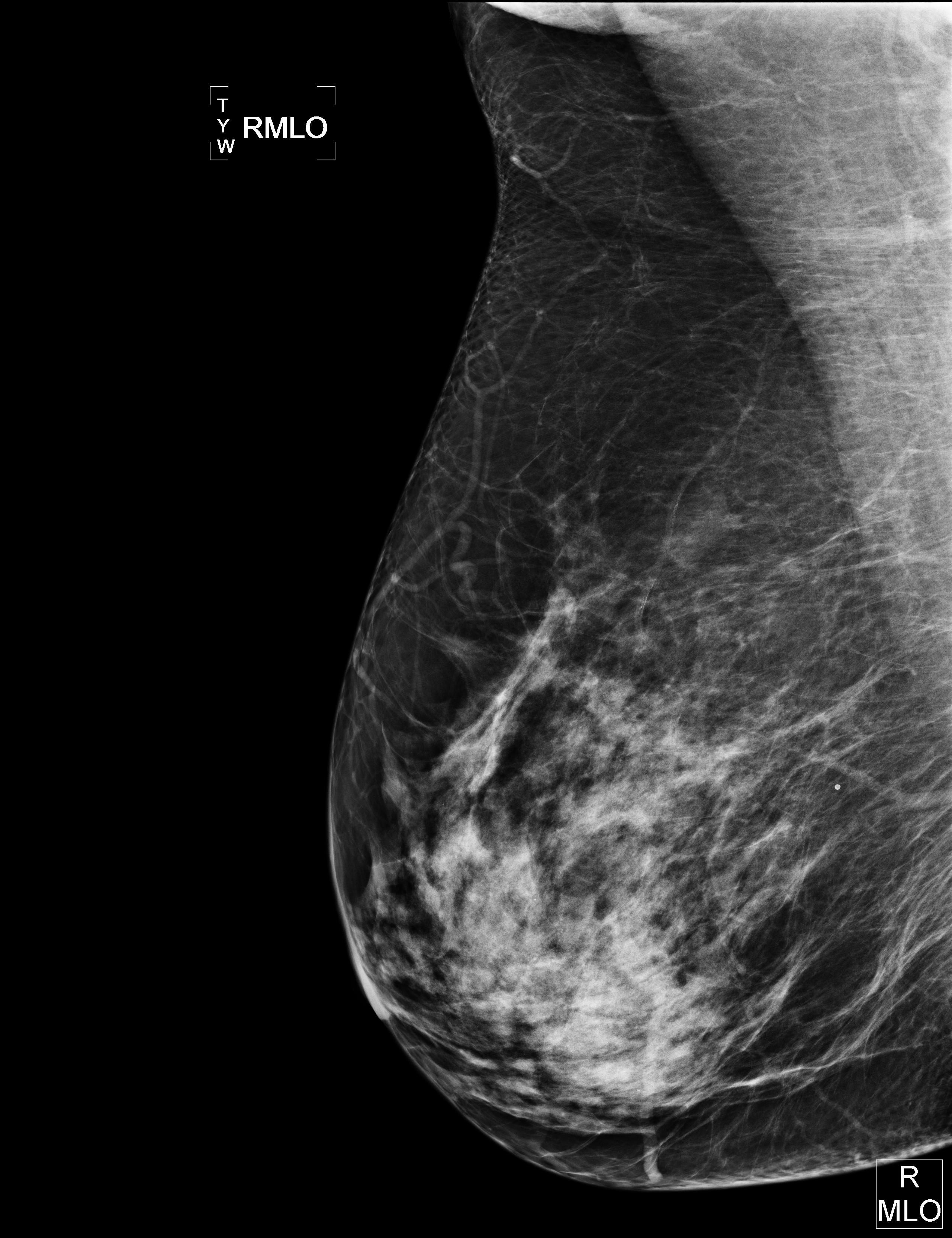
Tumori al seno: lo screening continua a salvare molte vite, ma un tumore su tre è innocuo

Anche se gli screening al seno sono ancora l’arma migliore per individuare il cancro allo stadio iniziale e continuino a salvare migliaia di vite ogni anno circa un terzo delle forme tumorali diagnosticate potrebbero in realta’ essere innocue. E’ quanto e’ emerso da uno studio condotto in cinque Paesi, tra cui il Regno Unito, secondo il quale alcune donne vengono operate o trattate con chemioterapia inutilmente per forme tumorali che difficilmente potrebbero svilupparsi e minacciare effettivamente la loro vita.
La ricerca, scrive il sito web della Bbc, e’ stata pubblicata dal British Medical Journal (Bmj) ma e’ stata contestata dalle organizzazioni che difendono il sistema dei test e delle diagnosi precoci come unico sistema per salvare la vita delle pazienti. Anche perche’ con gli attuali mezzi a disposizione non e’ possibile accertare se i tumori individuati siano forme letali o meno. Ma i ricercatori del Nordic Cochrane Centre in Danimarca sostengono che i risultati del loro studio dimostrano che gli screening del seno possono in qualche caso condurre a casi di “sovra-diagnosi”.
“I test possono portare alla scoperta precoce di un cancro letale ma possono anche individuarne uno innocuo che non causera’ danni o sintomi”, sostengono i medici danesi sul Bmj, Sulla stessa linea il professore Gilbert Welch del Darthmouyh Institute for Helth Policy: le mammografie “danno l’opportunita’ di aiutare alcune donne ma possono anche avere la conseguenza di portare altre ad essere sottoposte ai trattamenti per il tumore (al senso) senza necessita’ anche perche’non si tratta di interventi leggeri”. Di parere nettamente opposto la professoressa Julietta Patnick, direttore proprio del Programma di screening per i tumori del Servizio Sanitario Nazionale britannico secondo cui “una donna su otto sarebbe morta senza il test”.
Secondo le sue stime nella sola Inghilterra le mammografie salvano 1.400 vite ogni anno. Per questo ha rinnovato l’appello a test il piu’ precoci possibili. Concorda con lei Sara Cant del Breaktrough Breast Cancer. Anzi la dottoressa si augura che lo studio non scoraggi le donne a sottoporsi all’analisi: “Sfortunatamente al momento non e’ possibile predire quali tumori individuati attraversi i test si svilupperanno in forme aggressive e quali cresceranno molto lentamente. Ma basandoci sui nostri dati al momento pensiamo che i benefici della scoperta precoce siano ancora maggiori dei rischi”. Basta ricordare, ha concluso, che “nel Regno Unito ancora 12.000 donne muoiono ogni anno di cancro al seno”.
AGI – Salute