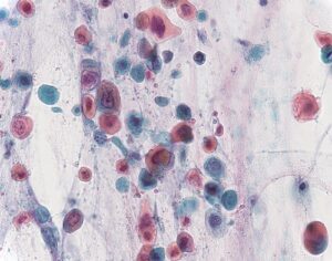
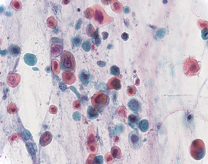
Cancro al polmone di tipo NSCLC: test per determinare la risposta al trattamento
Non-small cell lung carcinoma

Diventa possibile, grazie a una nuova scoperta del Queen Alexandra Hospital di Portsmouth (Gran Bretagna), prevedere l’esito del trattamento del cancro ai polmoni. Test genetici hanno rivelato infatti che alcuni geni responsabili della sensibilita’ ai farmaci sono associati alla sensibilita’ chimica effettiva del cancro al polmone di tipo NSCLC (Non-small cell lung carcinoma) a determinate sostanze. “Non abbiamo scoperto una correlazione diretta tra l’espressione di un solo gene con le reazioni del tumore a una sostanza, ma questa correlazione era presente invece in gruppi specifici di geni”, ha spiegato Ian Cree, primo autore dello studio pubblicato sulla rivista BMC Cancer. “Siamo riusciti quindi a scoprire dei ‘complessi’ genetici, associati a combinazioni di sostanze chimiche, che permettono di prevedere in partenza la sensibilita’ al trattamento”, ha detto Cree. “In questo modo, sara’ possibile elaborare delle chemioterapie personalizzate per ogni paziente“.